Cigarro eletrônico deixa jovem com pulmões parecidos com ‘vidros quebrados’; entenda
Uma adolescente de 19 anos precisou ser colocada em um respirador depois que o o cigarro eletrônico fez com que seus pulmões ficassem inflamados e manchados, parecendo “vidros quebrados”. A mulher chegou ao hospital com pressão arterial alta, dificuldade para respirar, febre e quantidade insuficiente de oxigênio no sangue.
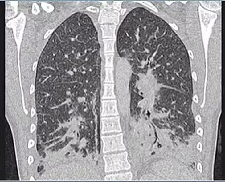
Ela foi inicialmente diagnosticada com pneumonia bacteriana grave, que foi tratada com antibióticos por cinco dias, porém, devido a não melhora dos sintomas, os médicos realizam um exame de raio-x que indicou manchas translúcidas por todos os pulmões, sugerindo que eles estavam cheios de líquido e apresentavam sinais de danos nos tecidos.
Eles haviam descartado Covid-19 e pneumonia bacteriana quando perguntaram a mulher se ela era usuária de cigarro eletrônico e a diagnosticaram com lesão pulmonar associada ao uso de cigarro eletrônico ou produtos de vaporização (EVALI).
O EVALI tem sido uma preocupação há anos, pois a taxa de uso de vapes entre jovens disparou. Relatórios de saúde pública mostram que cerca de 2.800 pacientes foram hospitalizados devido a EVALI em 2020, 15% dos quais eram adolescentes, sinalizando o início de uma pequena epidemia de casos de EVALI nos EUA.
EVALI é uma doença respiratória que imita outras infecções e é causada pela inalação de substâncias tóxicas adicionadas ao líquido do vaporizador, o que induz um tipo químico de pneumonia. Ele é um diagnóstico de exclusão porque não existem critérios claros para ele.
As imagens dos exames mostravam que a jovem tinha opacidades de vidro, geralmente ocorre junto com a consolidação nos pulmões. Consolidação se refere ao espessamento ou inchaço do tecido pulmonar, que acontece quando os espaços de ar nos pulmões se enchem de fluido, pus, sangue ou células.
Além disso, os médicos disseram que ela estava hipoxêmica, o que significa que seu sangue não estava transportando oxigênio suficiente para o resto do corpo. Os médicos a conectaram a um ventilador, administraram mais antibióticos e deram-lhe remédios para controlar a febre.
Segundo a paciente, cujo nome não foi revelado, vaporizava todos os dias no último mês. O tratamento dela consistiu em uso de esteroides, juntamente com cuidados de suporte com oxigênio e interrupção completa do uso do cigarro eletrônico.
Os médicos a alertaram para não começar a usar o cigarro eletrônico novamente, dizendo que o risco de o EVALI atacar novamente seria muito alto.

